Protocol for predicting suppressors of celldeath pathways based on transcriptomic and vulnerability data

Targeted gene therapy shuts down cancer cells’ energy centers >>
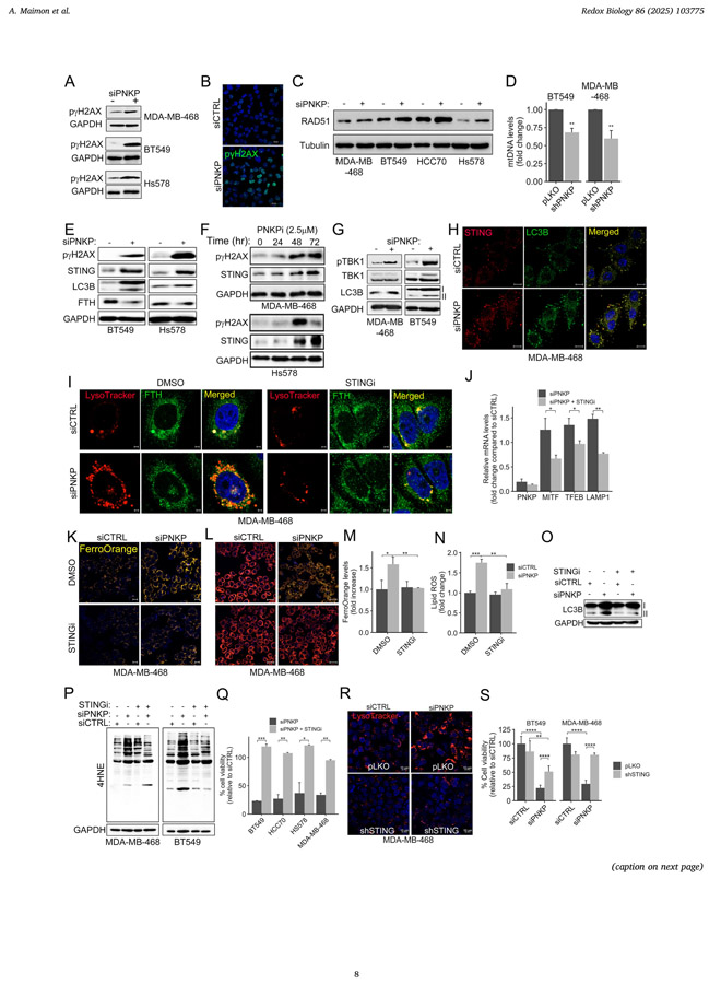
PNKP targeting engages the autophagic machinery through STING and STAT3 to potentiate ferroptosis and chemotherapy in TNBC

Targeted gene therapy shuts down cancer cells’ energy centers >>
Targeted gene therapy shuts down cancer cells’ energy centers
Targeted gene therapy shuts down cancer cells’ energy centers >>
Targeted therapies articles from across Nature Portfolio
Targeted therapies articles from across Nature Portfolio >>
International Review of Cell and Molecular Biology

Recommended papers:/books: Volume 385: Targeting Signaling Pathways in Solid Tumors – Part A >>
Sima Lev – Advanced Science 2024 Programming a Ferroptosis – to – Apoptosis Transition. Landscape Revealed Ferroptosis Biomarkers and Repressors for Cancer Therapy.

https://youtu.be/uK0aqHXmMso To the full article >>